Neoson Görüntüleme Merkezi İstanbul'da Contrast Enhanced Spectral Mammography (CESM) - Kontrastlı Spektral Mamografi - Angiomamografi - kullanımını Temmuz 2014 tarihinde Fulya Şişlide yeni taşındığı, çağdaş tasarımla özenle dekore edilmiş yeni adresinde başlattı.
FDA* onaylı bu sistem hasta için rutin mamografiye ilave intravenöz kontrast enjeksiyonu - ancak radyoloğun tanısal doğruluğu açısından yeni bir ufuk...
Kan akım patternlerindeki farklılıklar yardımı ile normal meme doku görüntüsünü silen CESM tekniği alışılmış mamogramın 'gizeminden' ayrılarak damardan zengin kanser dokusunun parladığı görüntülere ulaşır.
Videoda Kontrastlı Spektral Mamografi Nasıl Çekilir? görmektesiniz.
Digital mamografi ile aynı odada, aynı ekipman ve aynı personel ile pratikçe yapılır.

Endikasyon 1: Sol nipple'dan kanlı discharge. sol üst dış kadran 8 cm çapta yoğun segmental kontrast tutulumu. Nekrozu kribritform insitu duktal karsinom

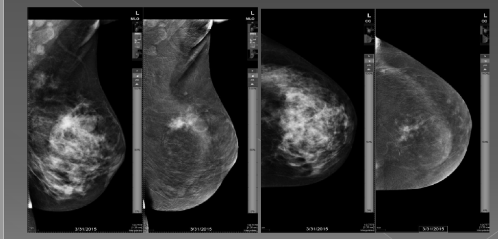
Endikasyon 2: Meme kanserinin tanısı ve yaygınlığının değerlendirilmesinde Lobüler - CA
Endikasyon 3 : Dens – yoğun meme patterni olan olgularda, meme kanserinin tanı ve yaygınlığının değerlendirilmesinde, kontrastlı mammografinin hassasiyet ve doğruluğu digital mammografiye oranla daha yüksektir.
CESM aynı anda iki farklı görünüm oluşturacak spektral ileri veri teknolojisine sahiptir. Normal doku sinyallerinin söndüğü, yoğun süt bezinin örtüldüğü, sadece kontrast madde ile ortaya çıkan tümöral alanların parladığı görüntüler standart mamografi ile tamamiyle aynı pozisyonda elde edilir.
Dünyanın diğer bölgelerinde olduğu gibi şehrimiz ve ülkemizde de mamografide 'beyaz' görüntü veren yoğun meme yapısı ile çok sık karşılaşıyoruz. Kanser de aynı görünümde olabileceği için bu tür memede tanı çok güçleşir. Muayeneler ultrason ile de desteklense de bazı durumlarda sonuç alınamaz. Çare MR çekimlerinde aranır; kimi zaman da gereksiz biopsilere başvurulur.
MR görüntülemede çekinceler şöyle sıralanabilir: (1) pahalıdır (2) dar bir tüpün içinde yüzükoyun pozisyonda 45 dakika kadar kıpırdamadan kalmanız istenir (3) yanlış pozitif -yani sonradan 'hiçbirşeymiş' dediğimiz - ancak biopsi yapmadan da karar veremeyeceğimiz dokusal parlamalar hiç de gözardı edilmeyecek sıklıktadır (4) adet dönemine göre randevu verilmesi haftalara varan gecikmelere neden olabilir (5) hastaya sonuç anında verilemez.
CESM doğruluk oranları MR ile çok benzerdir, hem de 10 dakikada ve daha uygun fiyata. Çoğunlukla hemen çekim sonrası sonucunuz ile birlikte tüm sorularınızın cevabını almış olursunuz. Hem de standart dijital mamografi çekimi ile hemen hemen benzer dozda.
CESM kimlere yapılır derseniz... Meme MR ile uygulama alanları örtüşmektedir. Şüpheli meme lezyonlarının takibinde olduğu gibi meme dokusu yoğun olan yüksek riskli hastalarda, ameliyat öncesinde operasyon planlamasında, klinik meme muayenesinde ele gelen şüpheli bulguların aydınlatılmasında, MR çekiminin yapılamadığı durumlarda özellikle tavsiye edilir.
Yenilikçi CESM teknoljisi sayesinde Neoson Görüntüleme Merkezi meme sağlığı konusunda akılcı yaklaşım sağlayan ekipmanlarına bir yenisini katmaktan huzur ve mutluluk duymaktadır.
*FDA Food and Drug Administration