Pelvik (karın alt bölgesi) ultrason ile görüntüleme, üç ayrı yaklaşımla yapılabilir;
Karın üzerinden - transabdominal , transvajinal veya transrektal (bekar hanımlarda).
Bu incelemeler sıklıkla üreme veya idrar sistemini değerlendirmek amacıyla kullanılır. Ultrason güvenli bir tanı yöntemidir. Mesanenizi doldurmak için muayeneden önce su içmeniz istenebilir.
Pelvik Ultrason Görüntüleme Nedir?
Ultrason veya sonografi ses dalgalarının vücut içerisine gönderilmesi tekniğine dayanır. Bu ses dalgaları iç organlar tarafından yansıtılır. Yansıyan dalgalar cihazın bazı özel parçaları (prob) ile kaydedilir ve daha sonra anatomik bir bölgenin görüntüsü oluşturulur. Ultrason iyonize radyasyon (X ışını) içermez.
Ultrason görüntüleri gerçek zamanlı olarak elde edilen görüntülerdir; bu nedenle iç organ ve dokuların hareketlerini de gösterebilir. Örneğin, Doppler incelemelerinde olduğu gibi atar ve toplar damarlardaki kanın akışı görüntülenir.
Doppler ultrason muayenesi, pelvik ultrason muayenesi sırasında yapılır; incelenen organların kan akım özellikleri değerlendirilir. Hastalık tanısının konmasında çok önemli bir yol gösterici yöntemdir.
Pelvik ultrason hangi nedenlerle kullanılır?
Rahim, rahim ağzı, yumurtalıklar, Fallop tüpleri ve mesane ile ilgili olabilecek hastalıklar araştırılır.
Ultrason muayeneleri aşağıdaki bulguların teşhisine yardımcı olur.
Transvajinal ultrason endometrium (rahim iç duvarı) ve yumurtalıkları görüntülemek için yapılır. Ayrıca miyometrium (rahim kas duvarı) da değerlendirilir.
Pelvik muayenelerle hangi hastalıklar sıklıkla tespit edilebilir?

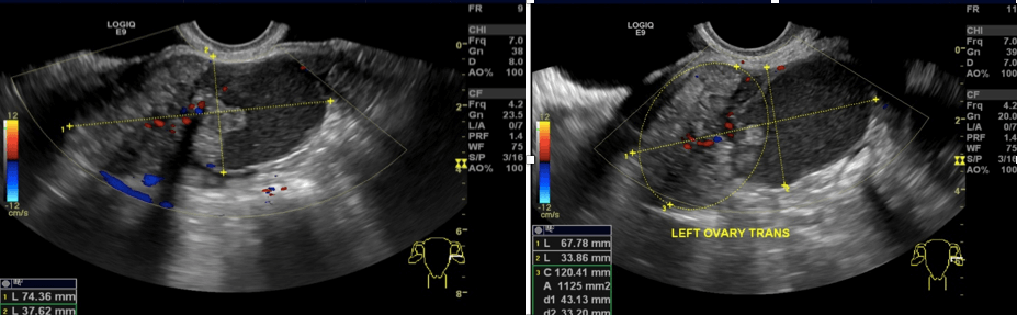
Resim 1: Transvajinal ultrason ile saptanan sol yumurtalık tümörü
Nasıl hazırlanmalıyım?
İncelemeye aç karnına gelmeniz gerekmez.
İncelemeden 1 saat önce 4 bardak su içiniz, merkezimizde içmeye devam edebilirsiniz. İdrarınızı yapmayınız. Dolu mesane için gerekli sıvı miktarını önceden almanız zaman kazandıracaktır, ancak aşırı doldurmaktan da kaçınınız, görüntü kalitesini etkileyebilir.
Pelvik ultrason muayenesi nasıl yapılır?
Transabdominal (karından) ultrason:
Ultrason muayenesinde, muayene masasında sırtüstü yatarsınız. Görüntülerin kalitesini iyileştirmek için hastalar her iki tarafa da çevirilip yan yatırılabilir.
Muayene masasına yattıktan sonra, uzman radyolog doktorumuz karın bölgesine ılık su bazlı bir jel uygulayacaktır. Jel probun vücudunuzla güvenli bir şekilde temas etmesine yardımcı olur ve prob ile cilt arasındaki ses dalgalarının vücudunuza geçmesini engelleyebilecek hava ceplerini de ortadan kaldırır. Prob karın bölgesine konur ve istenen görüntüler izlenene kadar ilgi alanı üzerinde ileri geri hareket ettirilir.

Resim 2: Prob ile inceleme
Prob incelenen alana bastırıldığında genellikle basınçtan dolayı rahatsızlık olmaz. Bununla birlikte, tarama hassas bir bölgede yapılırsa, prob baskısı hissedebilirsiniz.
Görüntüleme tamamlandığında, berrak ultrason jeli cildinizden silinecektir. Ultrason jeli genellikle giysilerinizde leke yapmaz veya rengini değiştirmez.
Transvajinal ultrason (vajinal propla yapılan ):
Transvajinal ultrason, jinekolojik muayene ile benzer şekilde yapılır. Mesanenizi boşalttıktan sonra prob vajinaya yerleştirilir. Prob ince bir çubuk şeklindedir. Üzeri steril bir prezervatif ile kaplanır ve az miktarda jel sürülerek vajinaya yerleştirilir.

Resim 3: Vajinal ultrason muayenesi
Rahim ve yumurtalıkların ideal görüntülerini izleyebilmek için prob farklı yönlerde hareket ettirilir.
Vajinal ultrason, elle yapılan jinekolojik muayeneden daha rahattır.
Bu alandaki organların ve çevre damarların, Doppler ultrason çalışması ile kan akışı izlenir. Gerekli ölçümler yapılırken, nabız benzeri sesler de duyabilirsiniz.
Transrektal ultrason (makad yoluyla yapılan) :
Bekar hanımlarda rahim ve yumurtalığın ayrıntılı incelenmesi ve Doppler ile patolojik yapıların damarsal değerlendirilmesi için kullanılan faydalı bir yöntemdir. Sadece karından yapılan ultrason muayenesi ile erken tanı için gerekli ayrıntılar görülemediğinde, bu muayeneye başvurulabilir.
Sonuç olarak ; ultrason önemli bir tıbbi tanı yöntemidir. Ultrasonun nasıl çalıştığını anlamak, ne amaçla kullanıldığını bilmek, ultrason incelemesi öncesi nasıl bir hazırlık gerektiğini öğrenmek sizin inceleme sırasında rahat ve güvenli olmanızı sağlayacaktır.